ここでは特徴的な症例について、一部をご紹介いたします。
※手術の写真を掲載しておりますので、苦手な方はご注意ください。
小滝橋動物病院グループ全体の外科症例件数については、>こちらをご参照ください。

ストレスが関わっている? 猫の特発性膀胱炎

目次


特発性膀胱炎について


猫では特発性膀胱炎という膀胱炎が非常に多いです。
原因は明らかにはなっていないため「特発性」という名前がつきますが、飲水量の低下やストレスが原因で発症するのではないかと言われています。

症状は、頻尿になり、いつもの場所以外のところでも排尿するようになることがあります。
また、残尿感から尿が膀胱にたまっていないのに排尿姿勢を取ったりします。
そのため、全く尿が出なくなったかのように見えることがあります。
尿の色は白く濁っていたり血尿することがあるため、注意深く観察する必要があります。

痛みを伴うことがあるため、大声で鳴いたり、お腹を触ると痛がるという症状が出ることがあります。

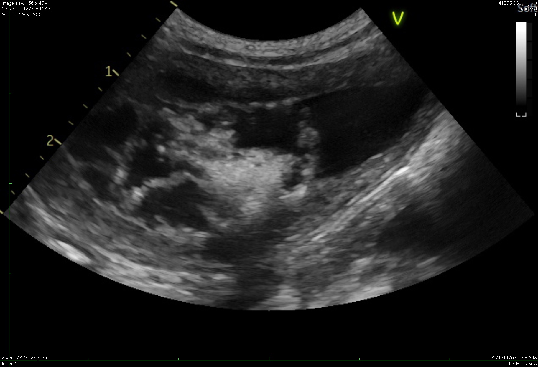
特発性膀胱炎で血尿になった症例





診断・治療


特発性は原因不明という意味のため、診断にはたくさんの検査が必要になります。
細菌感染や結石や腫瘍がないかを確認するために尿検査、X線検査、超音波検査が必要になります。

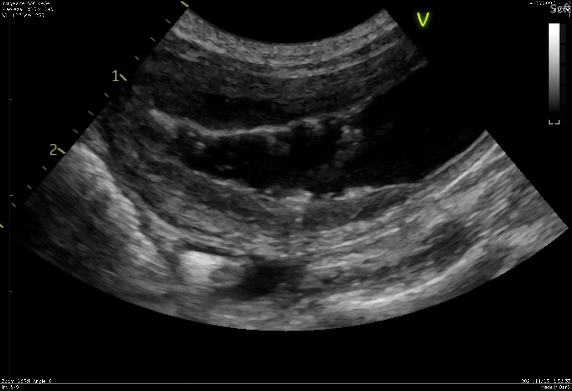
特発性膀胱炎で粘膜が肥厚している様子

特発性膀胱炎で血餅ができている様子


原因不明とはいえ、ストレスや飲水量不足により引き起こされていると言われているため、治療はストレス緩和や飲水量を上げることなります。
根本的には本人が何に対してストレスを感じているのかを診断し、生活環境の改善をしてあげること必要です。
飲水量を上げるための環境改善も必要ですね。
また、膀胱炎による鈍痛を抑えるために鎮痛薬の投与も有効となります。

猫は環境の変化に弱い動物です。
特発性膀胱炎にならないように急な環境の変化をなくし、穏やかに過ごせるよう配慮してあげましょう


執筆担当:動物看護師 川島 沙紀
東京都豊島区南長崎2-2-1 軟部外科に特化した目白通り高度医療センター トップページはこちら>>
TEL:03-3565-6596
ネット予約はこちら>>