ここでは特徴的な症例について、一部をご紹介いたします。
※手術の写真を掲載しておりますので、苦手な方はご注意ください。
小滝橋動物病院グループ全体の外科症例件数については、>こちらをご参照ください。

救急疾患にもなる犬の脾臓腫瘍

目次


脾臓の腫瘍について


脾臓は何をしている臓器なのか正確に知っている方は少ないのではないでしょうか?
脾臓は血球の産生や血液の貯留、免疫応答などを行う体内最大のリンパ器官なのです。
今回はその脾臓に発生する腫瘍についてお話しします。

脾臓腫瘍は猫よりも犬での発生が多いとされています。
犬に発生する脾臓腫瘍の内、半分が悪性腫瘍であり、その内の半分が血管肉腫だとされています。
犬の血管肉腫以外の鑑別としては、組織球肉腫やリンパ腫などがあげられます。





症状


症状は多くの場合無症状ですが、腫瘍が大きくなってくるとお腹が大きくなってくるので、そこで見つかることがあります。
また脾臓腫瘍は、たとえ良性の腫瘍だったとしても腹腔内で大量に出血する場合があり、その場合は救急疾患になってしまうことがあります。
腹腔内出血を起こした場合は貧血をおこし、粘膜の色が白くなったり、低血圧によりふらつきがみられることがあります。
また出血が止まらなければそのまま命に関わることもあります。





診断、治療


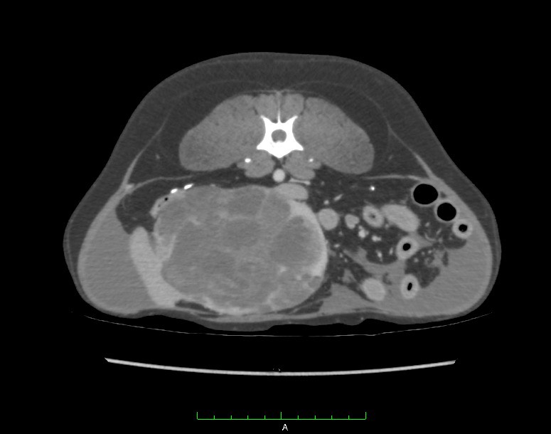
病院では主に血液検査、超音波検査、X線検査、CT検査で診断します。
特にCT検査は悪性腫瘍の転移の有無や転移の程度を評価するのに有用です。

治療方法は基本的には外科的切除を行います。
悪性腫瘍はもちろん腹腔内出血のリスクの高い良性腫瘍でも外科切除の適応になります。
悪性腫瘍の場合はそれに加えて抗癌剤による化学療法を行うこともあります。
以下はCTの画像と手術中の画像です。
苦手な方はご注意ください。↓↓





脾臓腫瘍のCT画像
脾臓腫瘍を摘出している画像


もし健康診断などで脾臓の腫瘍を指摘され、困っていることなどあればいつでもご相談ください。

執筆担当:獣医師 山下 諒
東京都豊島区南長崎2-2-1 軟部外科に特化した目白通り高度医療センター トップページはこちら>>
TEL:03-3565-6596
ネット予約はこちら>>