ここでは特徴的な症例について、一部をご紹介いたします。
※手術の写真を掲載しておりますので、苦手な方はご注意ください。
小滝橋動物病院グループ全体の外科症例件数については、>こちらをご参照ください。

猫の肥満細胞腫

目次


肥満細胞種とは


肥満細胞とは、身体の免疫や炎症に関与する細胞の一つであり、外界と接触する粘膜や結合組織に存在します。
細胞内にヒスタミンなどの顆粒を含んでおり、アレルギー反応に寄与しています。
その肥満細胞がまさに腫瘍化してしまったものが、”肥満細胞腫”です。
免疫細胞が故に身体の様々な臓器に発生してしまうのが特徴です。



猫の肥満細胞腫について


肥満細胞腫は猫の全腫瘍のうち2〜15%を占め、遭遇率の多い腫瘍です。皮膚・皮下・消化管・肝臓・脾臓など様々な臓器から発生し、その発生部位による特徴から皮膚型・内臓型に分けられます。皮膚型の発生部位は頭頸部に多いとされていますが、体幹部や四肢などあらゆる場所に発生し、その外貌も様々です。一見皮膚病と見間違えてしまうことさえあり得ます。一般的に猫の皮膚肥満細胞腫は犬と比較して挙動が良いとされていますが、油断は禁物です。
今回は皮膚肥満細胞腫が全身に広がり、最終的には血液中にまで広がってしまった症例をご紹介します。




実際の症例 包皮に発生した猫の皮膚肥満細胞腫


14歳、去勢雄の雑種猫です。
元々眼瞼や大腿部皮膚に肥満細胞腫があり、包皮にも発生してしまった症例です。
包皮の外貌は赤く腫れ上がっています。(写真1)
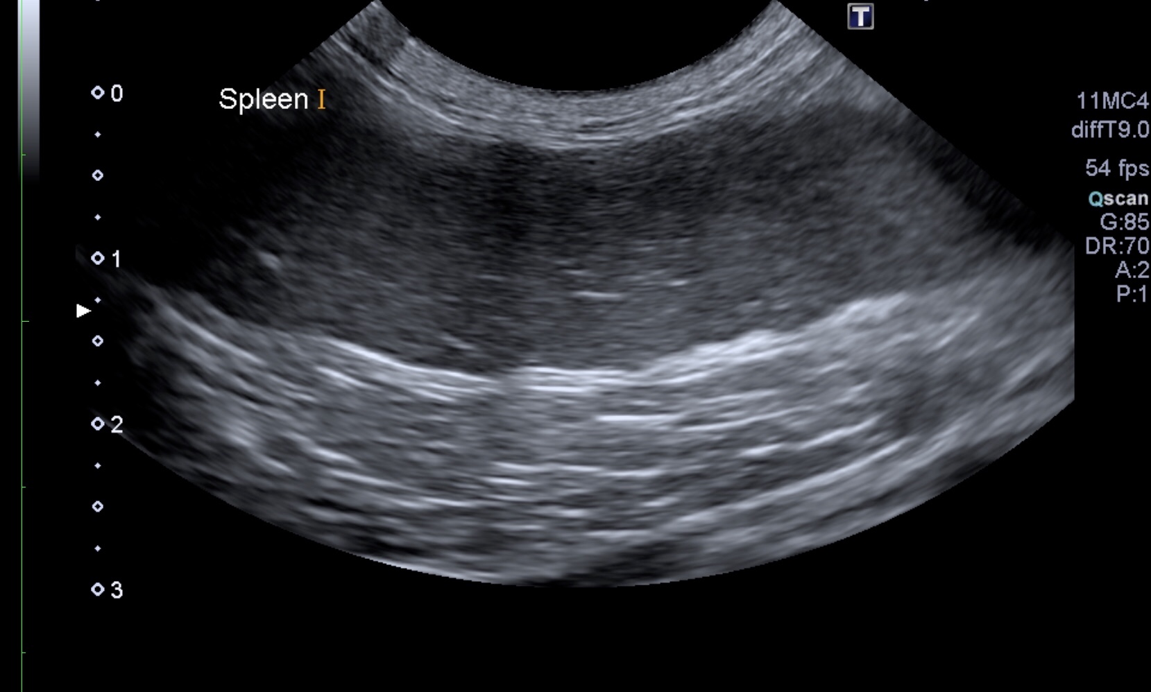
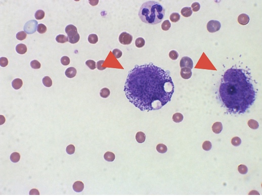
血液検査や超音波検査を実施したところ、内臓(脾臓)や血液中にも腫瘍細胞の浸潤が疑われました。(写真2)(写真3)
写真1:包皮外貌
写真2:脾臓の超音波画像
写真3:矢頭 末梢血中の腫瘍細胞



治療法



腫瘍に対する治療の3本柱は外科療法・放射線療法・化学療法であり、それぞれに利点欠点が存在します。その中でも猫の皮膚肥満細胞腫に対する最も効果的な治療法は外科療法になります。腫瘍細胞が全身に広がってしまう前に、病変が小さいうちに外科的に摘出してしまうことが推奨されます。


当院では毎週火曜日に腫瘍認定医による腫瘍専門外来を受け付けています。猫ちゃんの身体にしこりを見つけた際は、是非ご相談ください。



執筆担当:獣医師 山下 諒
東京都豊島区南長崎2-2-1 軟部外科に特化した目白通り高度医療センター トップページはこちら>>
TEL:03-3565-6596
ネット予約はこちら>>