ここでは特徴的な症例について、一部をご紹介いたします。
※手術の写真を掲載しておりますので、苦手な方はご注意ください。
小滝橋動物病院グループ全体の外科症例件数については、>こちらをご参照ください。

犬に動脈管開存症に対して心臓カテーテル手術を行なった症例

目次


動脈管開存症について


今回は健康診断で、心雑音が聴取され、各種検査で動脈管開存症と診断し心臓カテーテルでの手術を実施した症例を紹介させて頂きます。

動脈管開存症は心臓から肺へ血液を送る肺動脈と心臓から全身へ血液を送る大動脈が、動脈管によってつながっている疾患になります。

動脈管はもともと、胎児の状態では開いていますが、出生後自然と閉じるのが一般的です。

しかし、動脈管が生後自然に閉鎖せずに肺動脈と大動脈がつながったままの状態でいると、血圧が高い大動脈から肺動脈の方に血液が流れ込むようになってしまいます。



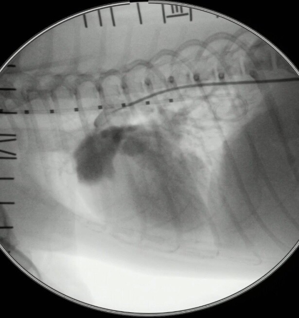
実際の症例


今回、治療法としてコイル塞栓術を実施いたしました。

写真は、コイル塞栓の一連の流れを掲載させて頂きました。
症例は術後の短絡血流もなく無事に退院できました。
・心臓の雑音を以前指摘されたことがある
・ご飯はしっかり食べているのに身体が大きくならない等の発達障害
・咳や呼吸があらいことがある
・高齢になってきたので心臓病が心配。。

などありましたら気軽にご相談してください。

最後まで読んで頂きありがとうございました。今後ともよろしくお願いいたします。



執筆担当:獣医師 牛尾 俊之
東京都豊島区南長崎2-2-1 軟部外科に特化した目白通り高度医療センター トップページはこちら>>
TEL:03-3565-6596
ネット予約はこちら>>