ここでは特徴的な症例について、一部をご紹介いたします。
※手術の写真を掲載しておりますので、苦手な方はご注意ください。
小滝橋動物病院グループ全体の外科症例件数については、>こちらをご参照ください。

口が閉められずよだれが出過ぎてしまう 三叉神経炎

目次


三叉神経


三叉神経とは、顔面神経の一部であり表情筋の一部を支配しています。
三叉神経炎とは、その神経の一部に炎症が生じ閉口障害など神経症状が出る病気です。
つまり、口が閉じられなくなってしまうので涎(よだれ)がで続けてしまうという症状が認められます。
また、眼の周囲の表情筋にも三叉神経が関与しているため、閉眼障害が出ることもあります。
つまり、目が閉じれなくなってしまうということですね
その他にも症状はありますが、顔の表情筋に由来する症状が主です。

原因は特発性(原因不明)と言われています。





診断と治療


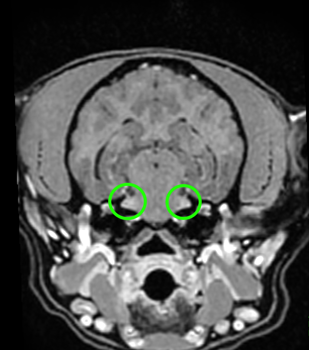
診断法として、神経学的検査や頭部のMRI検査が必要になります。
確定するにはMRI検査で三叉神経での炎症像を確認することが必要です
◯:三叉神経での炎症

治療法にはビタミン剤の投与など神経炎の治療が必要になります。
治療効果が出るまでに数ヶ月かかることもあり、その間閉口障害や閉眼障害による合併症の治療が必要になります。
閉口障害があると食事を取ることが難しくなるので食事の補助が必要です。
閉眼障害があると眼が乾燥しドライアイにより角膜障害が出ることがあります。
そのため、人口涙液の点眼が必要になることがあります。

同様の症状がある場合は一度ご相談ください。



執筆担当:獣医師 水谷 博紀
東京都豊島区南長崎2-2-1 軟部外科に特化した目白通り高度医療センター トップページはこちら>>
TEL:03-3565-6596
ネット予約はこちら>>