ここでは特徴的な症例について、一部をご紹介いたします。
※手術の写真を掲載しておりますので、苦手な方はご注意ください。
小滝橋動物病院グループ全体の外科症例件数については、>こちらをご参照ください。

高齢犬の血尿 膀胱の腫瘍?

目次


膀胱の腫瘍について


犬の膀胱に発生する腫瘍には様々なものがありますが、最も一般的なものは移行上皮癌(TCC)と呼ばれるもので、犬の悪性腫瘍のうち約2%を占めます。
今回はその膀胱移行上皮癌についてご紹介します。
泌尿器と呼ばれる臓器には大まかに腎臓、尿管、膀胱、尿道に分類されます。
膀胱の中には尿管や尿道の開口部がある膀胱三角があります。
今回ご紹介する移行上皮癌は膀胱の中の膀胱三角に発生することが多いです。
初期は腫瘍が小さいため血尿や頻尿が発症する程度ですが、腫瘍が大きくなると膀胱三角にある尿管や尿道の開口部を閉塞してしまうことがあります。
つまり、進行してくると排尿することができなくなってしまう可能性があると言うことです。
排尿することができなくなってしまうと腎障害につながってしまい、命に関わることがあります。
以上のことから早期発見することが非常に重要になってきます。





症状・診断・治療


初期の臨床症状は頻尿や血尿です。認められた際は、受診をお勧めします。
まず、尿検査、腹部超音波検査を受けてみましょう。
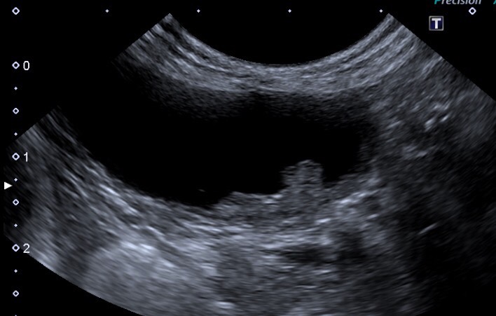
写真:超音波検査で観察された膀胱移行上皮癌


膀胱移行上皮癌が疑わしい場合は、細胞診検査や遺伝子検査、膀胱鏡検査など追加の精密検査を受け、治療方法を選択できるように正しく診断していきましょう。

腫瘍の治療は、外科療法、放射線療法、化学療法の3つが軸となりますが、発生部位や臨床ステージに合わせて選択する必要があります。
それぞれにメリット・デメリットがありますので、お気軽に当院獣医師にご相談下さい。



執筆担当:獣医師 山下 諒
東京都豊島区南長崎2-2-1 軟部外科に特化した目白通り高度医療センター トップページはこちら>>
TEL:03-3565-6596
ネット予約はこちら>>